Disclaimer
To our valued patients, please beware of false online offers promising free treatments at Harmony Medical Center.
Book your appointment
Loading booking form…
Disclaimer
To our valued patients, please beware of false online offers promising free treatments at Harmony Medical Center.
Send an enquiry
EnglishEnglish
EnglishEnglish
العربيةالعربية
Dr. Oussama Alaoui - Head of the Prosthodontics Department at Harmony Medical Center in Dubai and Abu Dhabi

Dr. Oussama Alaoui

Dr. Oussama Alaoui is a highly distinguished Smile Design Specialist with nearly 25 years of experience, including five years of advanced training and practice in France.

He earned his postgraduate degree in Fixed Prosthodontics from Damascus University, Syria in 2004, undergoing four years of meticulous training to master the art of prosthodontics. He then furthered his expertise by completing a Diploma of Aesthetic Smile Design at Louis Pasteur University in Strasbourg, France, from 2005 to 2007.

As a Specialist Prosthodontist, Dr. Oussama is an expert in full mouth rehabilitation, addressing complex prosthetic cases and performing smile makeovers. He has a deep understanding of the perfect balance and ratios required to recreate natural beauty and is widely recognized among his peers as a “Smile Architect”.

He has authored numerous articles in dental magazines and delivered lectures on cosmetic dentistry and dental photography in countries worldwide. Additionally, he has received several prestigious awards in various aesthetic dentistry competitions in the MENA region.

He speaks French, English, and Arabic.

Dr. Oussama Alaoui practices in:

Beautiful Smiles

by Dr. Oussama Alaoui

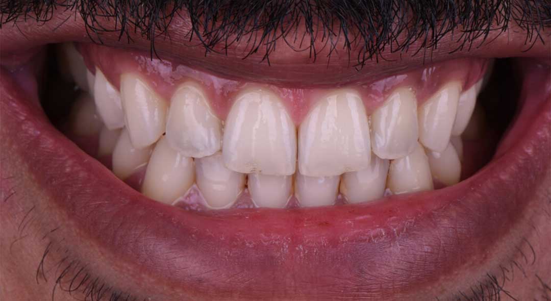
Before veneers treatment with Dr. Oussama Alaoui

Before

Final result with beautiful veneers treatment with Dr. Oussama Alaoui

Final result of beautiful veneers treatment by Dr. Oussama Alaoui.

Before veneers treatment with Dr. Oussama Alaoui

Before

Prosthodontics specialist

Final result of beautiful veneers treatment by Dr. Oussama Alaoui.

Before veneers treatment with Dr. Oussama Alaoui

Before

Prosthodontics near me

Final result of beautiful veneers treatment by Dr. Oussama Alaoui.