Disclaimer
To our valued patients, please beware of false online offers promising free treatments at Harmony Medical Center.
Book your appointment
Loading booking form…
Disclaimer
To our valued patients, please beware of false online offers promising free treatments at Harmony Medical Center.
Send an enquiry
EnglishEnglish
EnglishEnglish
العربيةالعربية
Confident woman with a beautiful smile

Gummy Smile Treatment

Healthy gums, healthy smile.

A smile is a powerful tool for expressing confidence and joy. However, a gummy smile, where excessive gum tissue exposes more of the gums than teeth, can sometimes cause self-consciousness. Here at Harmony, our team of experienced periodontists specializes in providing pain-free, effective, and long-lasting solutions for gummy smile correction.

A gummy smile is a condition where the upper gums appear overly prominent when smiling. This is often attributed to one's genetic makeup. Factors such as naturally excessive gum tissue, a short or thin upper lip, or irregular teeth eruption can contribute to this condition. Additionally, certain medications like phenytoin and calcium-channel blockers, such as amlodipine, may cause gingival hyperplasia (an abnormal overgrowth of gum tissues) as a side effect.

Gummy Smile Treatment Options

Our team of periodontists in Dubai and Abu Dhabi will conduct a thorough evaluation of your smile and discuss your specific concerns. Based on this assessment, they will recommend the most appropriate treatment option:

Gum Contouring with Lasers

This minimally invasive procedure utilizes advanced laser technology to precisely reshape the gum tissue. The laser offers a more comfortable and controlled experience compared to traditional surgical methods.

Crown Lengthening

For cases where the teeth are not fully erupted, surgical crown lengthening may be recommended. This procedure exposes more of the tooth crown to create a more balanced smile.

Combined Treatment

In some cases, a combination of gum contouring and other procedures like orthodontics (braces or aligners) might be necessary to achieve the best outcome.

Merry and Bright

Transform Your Smile with Veneers

40% Off
High-quality Veneers

(regular value AED 4,200)

Offer starts at
AED 2,500 per tooth

Benefits of Gummy Smile Correction

at Harmony Medical Center

A more balanced and aesthetically pleasing smile can significantly boost your self-esteem and confidence.
A balanced smile creates a more harmonious overall facial appearance.
Excess gum tissue can trap food particles and bacteria, increasing the risk of gum disease. Gummy smile correction can improve oral hygiene and prevent gum problems.

Gummy Smile Treatments

by Our Smile Makers

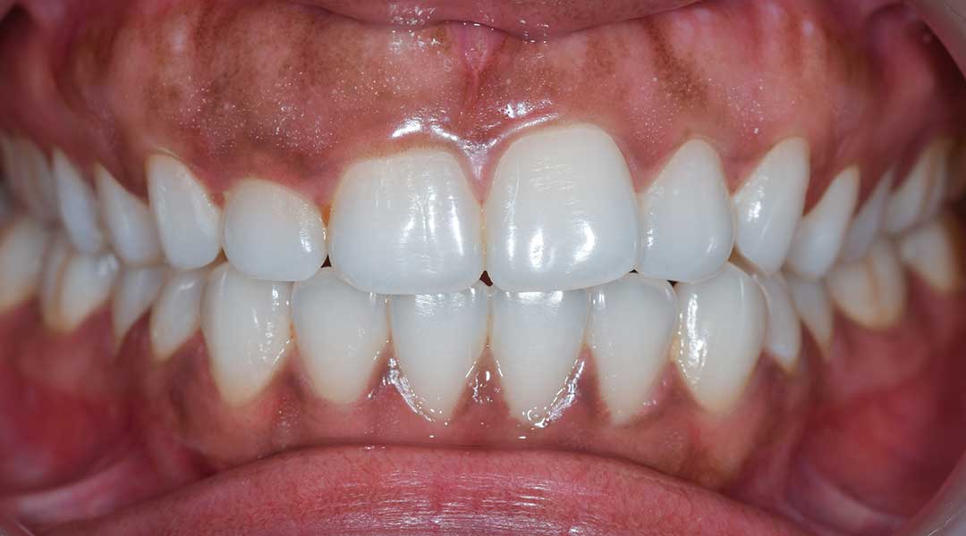
Before Gummy Smile Treatment
Before
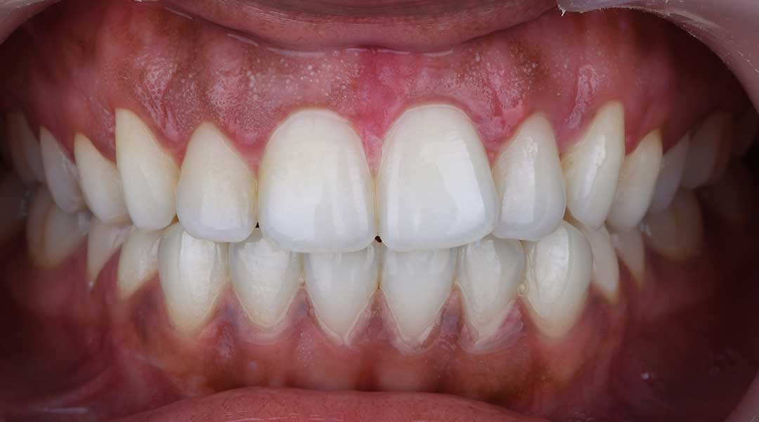
After Gummy Smile Treatment
Gummy Smile Treatment

Gummy Smile Treatment FAQs

The best way to determine if gummy smile treatment is right for you is to schedule a consultation with one of our experienced periodontists at any of our branches in Dubai and Abu Dhabi. They will assess your smile, discuss your concerns, and recommend the most appropriate treatment option.

We offer various anesthesia options to ensure your comfort during treatment. Modern techniques like laser gum contouring are quick and virtually painless. On the other hand, crown lengthening is performed under local anesthesia, ensuring you won’t feel any discomfort throughout the procedure.

The time for treatment varies depending on the chosen method. Gum contouring is often a same-day procedure, while crown lengthening may require more time. We will discuss the specific details during your consultation.

Recovery time is typically short for gum contouring, with some minor discomfort and swelling for a few days. Crown lengthening may require a longer recovery period depending on the complexity of the procedure. Your periodontist will provide specific recovery instructions.

The cost of treatment depends on the specific procedure(s) needed. During your consultation, we will discuss the treatment options and provide a personalized cost estimate. We also offer flexible payment options to help make treatments accessible.

Our Smile Makers